院長解説:免疫リンパ球療法(同種白血球輸注療法)
当院の免疫療法の原理
(Mechanism of Immunotherapy in our clinic)
・GVT (Graft versus Tumor) 効果
・当院免疫療法の重要なポイント
当院の免疫療法において重要なポイントとなるメカニズムはGVT (Graft versus Tumor effect) 効果にあります。 この効果はGVHD (Graft versus Host Disease: 移植片対宿主病) に近い免疫反応です。
[GVHDとは:GVHDは臓器移植の際に問題となる有害作用ですが、免疫反応が患者自身の正常細胞を攻撃してしまうため、なるべく起こさないように配慮されています。]
当院の免疫療法において重要なポイントとなるメカニズムはGVT (Graft versus Tumor effect) 効果にあります。 この効果はGVHD (Graft versus Host Disease: 移植片対宿主病) に近い免疫反応です。
[GVHDとは:GVHDは臓器移植の際に問題となる有害作用ですが、免疫反応が患者自身の正常細胞を攻撃してしまうため、なるべく起こさないように配慮されています。]

・GVHDとGVT効果の違い
GVHD (Graft versus Host Disease) とGVT (Graft versus Tumor effect)はメカニズムは非常によく似ています。
上記のように正常細胞を攻撃してしまうGVHDは明らかな“有害反応”と言えるものです。しかし、その免疫反応の矛先をがん細胞や腫瘍細胞に向けてやることでGVT効果という良い作用に変わります。
・GVT効果とは「良い免疫反応」
同種移植などによって活性化した免疫細胞ががん細胞や腫瘍細胞を攻撃してくれるので医療や治療の面からみると“良い免疫反応”と言うことができます。
・Blazar, B. R., et al. (2020). Dissecting the biology of allogeneic HSCT to enhance the GvT effect whilst minimizing GvHD. Nature Reviews Clinical Oncology, 17(8), 475-492.
・Guo W-w, et al. (2021) Regulatory T Cells in GVHD Therapy.Front. Immunol.12:697854.
・GVT効果とは「良い免疫反応」
同種移植などによって活性化した免疫細胞ががん細胞や腫瘍細胞を攻撃してくれるので医療や治療の面からみると“良い免疫反応”と言うことができます。
・Blazar, B. R., et al. (2020). Dissecting the biology of allogeneic HSCT to enhance the GvT effect whilst minimizing GvHD. Nature Reviews Clinical Oncology, 17(8), 475-492.
・Guo W-w, et al. (2021) Regulatory T Cells in GVHD Therapy.Front. Immunol.12:697854.
治療の軸となるGVT効果発見の経緯
(Discovery of GVT effects)
・1950年代動物実験での発見
かなり前にさかのぼりますが1950年代半ばに白血病の動物実験で興味深い発見が報告されました。白血病モデル実験マウスに免疫細胞の同種移植をおこなった動物において、「GVHDのような強い免疫反応を起こしたマウスの白血病細胞が全て消失していた」という結果が報告されました。
「免疫反応を起こさないマウスの死因のほとんどは白血病による病死」という対照的な結果でした。これにより「自己一致の細胞移植より免疫反応が起こる細胞移植の方が腫瘍消失率が高い」ということが発見されます。
「免疫反応を起こさないマウスの死因のほとんどは白血病による病死」という対照的な結果でした。これにより「自己一致の細胞移植より免疫反応が起こる細胞移植の方が腫瘍消失率が高い」ということが発見されます。

Barnes, D. et al. (1956). Treatment of murine leukaemia with x rays and homologous bone marrow. British medical journal, 2(4993), 626.
Charlotte Patterson. Graft versus Tumor effect. Presentation 2011
Charlotte Patterson. Graft versus Tumor effect. Presentation 2011
ヒトにおけるGVT効果の報告
(GVT effects on human treatment)
・人でもGVT効果の発見
1979年、世界でもトップジャーナルのNew England Journal of Medicineという学術誌に人における大きな発見が報告されます。GVHDという一見有害な反応を起こす患者の方が“明らかに再発率が低い”という報告です*。その違いはグラフを見ても明らかです。
このことから人の臨床的な白血病治療においてドナー細胞によるGVT効果が注目を浴びて研究が行われていきます。
このことから人の臨床的な白血病治療においてドナー細胞によるGVT効果が注目を浴びて研究が行われていきます。

Weiden PL, et al. (1979). Antileukemic effect of graft-versus-host disease in human recipients of allogeneic-marrow grafts. New England Journal of Medicine, 300(19), 1068-1073.
さらに続くヒトGVT効果の報告
(GVT effects on human leukemia)
・さらに進むGVT効果の検証
2001年、こちらも有名な科学誌ネイチャー (NATURE) に血液がんの患者の治療解析結果が報告されました。
グラフからも分かりますが、驚くべきことに急性GVHD (AGHVD)と慢性GVHD (CGHVD) の両方を発症した患者群が“最も再発率が低い”つまり、“血液がんはよく治っている”という結果が示されました。
グラフからも分かりますが、驚くべきことに急性GVHD (AGHVD)と慢性GVHD (CGHVD) の両方を発症した患者群が“最も再発率が低い”つまり、“血液がんはよく治っている”という結果が示されました。

そして意外にも血液が良く適合している“双子ドナー移植 (Twins)” や“GVHDを起こさなかった症例”が再発率が高いことが示されています。
このことから“他者ドナーの方がGVT効果には都合が良い”ということが分かってきました。
Appelbaum, F. R. (2001). Haematopoietic cell transplantation as immunotherapy. Nature, 411(6835), 385-389.
このことから“他者ドナーの方がGVT効果には都合が良い”ということが分かってきました。
Appelbaum, F. R. (2001). Haematopoietic cell transplantation as immunotherapy. Nature, 411(6835), 385-389.
血液がん以外の固形がんでもGVT効果がある
(GVT effects on solid cancer)
・固形がんでのGVT効果の検証
2000年、New England Journal of MedicineというトップジャーナルにGVHD/GVT効果を腎臓がんに応用した治療が報告されました。
グラフから分かるようにGVHDを起こしている患者が治療効果が高いことが示され、GVHDという免疫反応を意図的に狙っている(GVT効果)ことが分かります。
グラフから分かるようにGVHDを起こしている患者が治療効果が高いことが示され、GVHDという免疫反応を意図的に狙っている(GVT効果)ことが分かります。

左の画像はこの報告における治療前後の患者画像です。
Childs R, et al. Regression of metastatic renal-cell carcinoma after nonmyeloablative allogeneic peripheral- blood stem-cell transplantation. N Engl J Med. 2000;343:750-758.
Childs R, et al. Regression of metastatic renal-cell carcinoma after nonmyeloablative allogeneic peripheral- blood stem-cell transplantation. N Engl J Med. 2000;343:750-758.
固形がんのGVT効果でドナーリンパ球が重要
(GVT effects and DLI on solid cancer)
・免疫療法におけるドナーリンパ球の重要性
こちらも固形がん(腎臓がん)における免疫療法(幹細胞移植治療)においてGVHDを起こす症例の方が生存率が高い(GVT効果)ということを示した研究成果。
さらにGVHD反応だけではなく、ドナーリンパ球浸潤 (DLI) がある方がさらに抗腫瘍効果が高いことが報告されました。
Barkholt L, et al. Allogeneic haematopoietic stem cell transplantation for metastatic renal carci- noma in Europe. Ann Oncol. 2006;17:1134-1140.
さらにGVHD反応だけではなく、ドナーリンパ球浸潤 (DLI) がある方がさらに抗腫瘍効果が高いことが報告されました。
Barkholt L, et al. Allogeneic haematopoietic stem cell transplantation for metastatic renal carci- noma in Europe. Ann Oncol. 2006;17:1134-1140.

・GVHDとGVTは使い分けることができる
GVHDとGVTのメカニズムの違いや起こる条件を検証し、GVHDの有害反応を起こさずにGVT効果を狙えるという研究が報告されています。
Blazar BR, et al. (2020). Dissecting the biology of allogeneic HSCT to enhance the GvT effect whilst minimizing GvHD. Nature Reviews Clinical Oncology, 17(8), 475-492.
Hess AD. (2010). Separation of GVHD and GVL. Blood, The Journal of the American Society of Hematology, 115(9), 1666-1667.
Blazar BR, et al. (2020). Dissecting the biology of allogeneic HSCT to enhance the GvT effect whilst minimizing GvHD. Nature Reviews Clinical Oncology, 17(8), 475-492.
Hess AD. (2010). Separation of GVHD and GVL. Blood, The Journal of the American Society of Hematology, 115(9), 1666-1667.
GVT効果におけるT細胞の重要性
(T cell infusion enhances GVT effects)
GVHD は主にドナーT 細胞によって引き起こされるが、 T 細胞は患者抗原提示細胞(APC) によって刺激されるとGVT 効果を誘導します。
ドナーT細胞は特別な処置無し(未感作)でもGVT効果を増強させる (GVHDは誘発しない)。移植片の輸注にT細胞も含まれている方が良いとされます。
ドナーT細胞は特別な処置無し(未感作)でもGVT効果を増強させる (GVHDは誘発しない)。移植片の輸注にT細胞も含まれている方が良いとされます。

当院の免疫リンパ球療法にもTリンパ球が含有されています。
Zheng H, et al. Effector memory CD4+ T cells mediate graft-versus-leukemia without inducing graft-versus-host disease. Blood 111, 2476–2484 (2008).
Zheng H, et al. Effector memory CD4+ T cells mediate graft-versus-leukemia without inducing graft-versus-host disease. Blood 111, 2476–2484 (2008).
同種リンパ球免疫療法を支持する多くの研究
(Evidences of Allogeneic lymphocyte immunotherapy)
・“自己”よりも“同種(他者)”の方が有利な点
“がん細胞は既に患者本人の免疫機構をすり抜けて進行している”
→そのため、全て遺伝的にマッチした免疫細胞を使うよりも“あえて抗原のミスマッチした免疫細胞”を使うことで腫瘍が免疫システムに検知され破壊される効果があります。 これが“同種リンパ球免疫治療”が支持される大きな理由です。
→そのため、全て遺伝的にマッチした免疫細胞を使うよりも“あえて抗原のミスマッチした免疫細胞”を使うことで腫瘍が免疫システムに検知され破壊される効果があります。 これが“同種リンパ球免疫治療”が支持される大きな理由です。

・同種リンパ球輸注療法/GVT効果を支持する研究の一部
Kondo M, et al. Rationale for a novel immunotherapy of cancer with allogeneic lymphocyte infusion. Med Hypotheses. 1984 Nov;15(3):241-77. doi: 10.1016/0306-9877(84)90017-3.
Kohler PC, et al. Clinical adoptive chemoimmunotherapy with allogeneic alloactivated HLA-haploidentical lymphocytes: controlled induction of graft-versus-host-reactions. Cancer Immunol Immunother. 1988;26(1):74-82. doi: 10.1007/BF00199851.
Slavin S, et al. Donor lymphocyte infusion: the use of alloreactive and tumor-reactive lymphocytes for immunotherapy of malignant and nonmalignant diseases in conjunction with allogeneic stem cell transplantation. J Hematother Stem Cell Res. 2002 Apr;11(2):265-76. doi: 10.1089/152581602753658457.
Blazar BR, et al. (2020). Dissecting the biology of allogeneic HSCT to enhance the GvT effect whilst minimizing GvHD. Nature Reviews Clinical Oncology, 17(8), 475-492.
Barisic S, et al. Graft-Versus-Solid-Tumor Effect: From Hematopoietic Stem Cell Transplantation to Adoptive Cell Therapies, Stem Cells, Volume 40, Issue 6, June 2022, Pages 556–563, https://doi.org/10.1093/stmcls/sxac021
Takakura K., et al. (1972). Adjuvant immunotherapy for malignant brain tumors. Japanese Journal of Clinical Oncology, 2(2), 109-120.
Kohler PC, et al. Clinical adoptive chemoimmunotherapy with allogeneic alloactivated HLA-haploidentical lymphocytes: controlled induction of graft-versus-host-reactions. Cancer Immunol Immunother. 1988;26(1):74-82. doi: 10.1007/BF00199851.
Slavin S, et al. Donor lymphocyte infusion: the use of alloreactive and tumor-reactive lymphocytes for immunotherapy of malignant and nonmalignant diseases in conjunction with allogeneic stem cell transplantation. J Hematother Stem Cell Res. 2002 Apr;11(2):265-76. doi: 10.1089/152581602753658457.
Blazar BR, et al. (2020). Dissecting the biology of allogeneic HSCT to enhance the GvT effect whilst minimizing GvHD. Nature Reviews Clinical Oncology, 17(8), 475-492.
Barisic S, et al. Graft-Versus-Solid-Tumor Effect: From Hematopoietic Stem Cell Transplantation to Adoptive Cell Therapies, Stem Cells, Volume 40, Issue 6, June 2022, Pages 556–563, https://doi.org/10.1093/stmcls/sxac021
Takakura K., et al. (1972). Adjuvant immunotherapy for malignant brain tumors. Japanese Journal of Clinical Oncology, 2(2), 109-120.
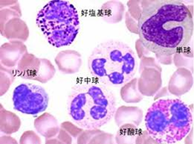
当院の免疫療法に含まれる免疫細胞(Immune system cells included in our Immunotherapy)
・当クリニックの免疫リンパ球療法にはドナー末梢血由来の全ての免疫細胞が含まれています。
[好中球/好酸球/好塩基球/Bリンパ球/Tリンパ球
ナチュラルキラー細胞/単球/マスト細胞, 等々]

※一般病院での白血球輸血はG-CSF製剤を用いるため、ほとんどが好中球です。
※一般全血輸血は放射線処理によってリンパ球や白血球は除去されます。
※当院療法では赤血球や血小板成分は完全に除去されるため血液型不適合のリスクはありません。
※一般全血輸血は放射線処理によってリンパ球や白血球は除去されます。
※当院療法では赤血球や血小板成分は完全に除去されるため血液型不適合のリスクはありません。
当院の治療の歴史
(History of Immunotherapy in our clinic)
・35年以上続く信頼と実績
当クリニックは現在港区芝浦にありますが、その前身は「原宿クリニック」という名称で1980年代に渋谷区原宿で開業しました。
当時の開院メンバーは「佐藤免疫療法」で知られる国立高崎病院の佐藤一英医学博士に師事して免疫研究を行っていた医師・薬剤師・技術者らにより構成されていました。
当時の開院メンバーは「佐藤免疫療法」で知られる国立高崎病院の佐藤一英医学博士に師事して免疫研究を行っていた医師・薬剤師・技術者らにより構成されていました。
・当院の長年の免疫リンパ球療法を裏付ける資料

先人達の熟孝された免疫細胞の分離精製法を踏襲しつつ、現代的な技術による改良を重ね、その療法を35年以上にわたって引き継いでいます。
当院は事業として免疫療法に昨今新規参入したものではなく、古くから免疫研究に携わる医療従事者として長年培われた技術と信頼があるクリニックです。
当院は事業として免疫療法に昨今新規参入したものではなく、古くから免疫研究に携わる医療従事者として長年培われた技術と信頼があるクリニックです。
文責:院長野宮
Responsibility in writing: Takuma Nomiya
Responsibility in writing: Takuma Nomiya
当院の治療の実際
(Procedure of Immunotherapy in our clinic)
歴史ある安全性の高い点滴療法です
当院では、1970年代から国内で臨床応用されるようになった同種白血球輸注療法を、患者様の体質改善目的で提供しています。
これまでの臨床応用の結果、この療法は安全性が実際に確かめられています。
一例として、平成28年4月1日から平成30年3月31日までの間に29歳から86歳の男女延べ1119件、この療法を施行しておりますが、医学的処置を要する副作用0件(有害事象発生率0%)という結果が実証されています。

治療に使用する白血球
当クリニックの免疫リンパ球療法は、専門の技術者により クリニック内のラボにおいて 丁寧に抽出した新鮮な白血球を使用しています。白血球の種類
-

好中球 身体中をパトロールしながら異物に対して対応する
-

好酸球 アレルギーと関わる
-

好塩基球 アレルギーとも関係あるが、寄生虫に対応
-

Bリンパ球 病原体に対して抗体を作る
-

Tリンパ球 ヘルパーT(司令官) キラーT(殺し屋)など
数種類のT細胞が、連携して病原体や癌と闘い粉砕 -

NK細胞 生まれつきの殺し屋
全身をパトロールし、単独で敵(癌やウイルスなどの病原体)を見つけ次第攻撃 -

単球 大きな貪食細胞
異物をパクパク食べて掃除するマクロファージと、その情報を伝える樹状細胞に変容する
点滴の所要時間
受付、問診、治療およびお会計を含めて約60分です。
点滴回数
4回を1セット(※1クール4回)として、※2~4週毎が原則です
- ※1クール終了後、続けるべきかどうかの判断は、検査結果やご実感、体調の変化などを考慮して決めていきます。
- ※間隔が一定していないのは、各人の病状によって異なるためです。
また、他の病院で治療をされている場合も、点滴間隔の調整がなされます。
◆同種白血球輸注療法は各患者さんに合わせ、ご予約いただいた2週間前から準備を始めさせていただく必要があります。そのためキャンセル・変更ができません。よって、確実に来院可能な日時をご予約願います。
〔※緊急入院等、やむを得ないご事情の際は、当院までお電話ください。度々のキャンセルやご自身に非がある急なキャンセルの場合、キャンセル料を申し受ける場合がございます。〕
〔※緊急入院等、やむを得ないご事情の際は、当院までお電話ください。度々のキャンセルやご自身に非がある急なキャンセルの場合、キャンセル料を申し受ける場合がございます。〕
注)
当院の同種白血球輸注療法は、病気の完全治癒を保証するものではなく、自分自身が病気を治すのを助けるものです。








